I’m so glad to be home.
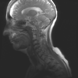
After a week on the road — first to Rochester, Minn., for an MRI; then off to Aberdeen, S.D., for my granddaughter’s first cheer competition.— it’s great to be home.
Gratitude — the quality of being thankful; readiness to show appreciation for and to return kindness. (SOURCE: Oxford Languages)
I’m so grateful for my home, my garden, my family, and my friends. With every breath, I thank God. I’m so very thankful we passed another cancer milestone. The tumors in my brain have responded so favorably to the Gamma Knife surgery that Dr. Pollack said my images would be the ones he would show at a conference.
The five tumors are nearly non-existent.
My scans are an example of surgery success to the nth degree. Sure, the nerve damage to my left ear will always be there; but I told the doctor I would take it in exchange for “no new lesions” in my brain. My friend Nancy said the ringing from tinnitus is a reminder of God’s tender mercies, a healing. And, if I make it to January with clean scans, we move to an “every six-month” schedule for the tests. Today, I have been given another three-month lease on life.
I’ll take it.
Everyone knows in the back of their mind the inevitable end to our days on this lovely planet. Cancer changes that. It makes you painfully aware that each day is the ultimate gift of life handed out in increments of three months.
I heard this verse in a sermon by Rev. Alden in an episode of Little House on the Prairie. “In the day of prosperity there is a forgetfulness of affliction: and in the day of affliction there is no more remembrance of prosperity.” (Ecclesiasticus 11:25 from the Catholic Bible).
With cancer, it’s easy to forget to be grateful at times. There are too many reminders of my illness with all the pills, blood draws, and doctor’s appointments. But, I’m trying to accept each day for just that — the only day I have, today and be grateful.
Funny thing. My grandfather was a tough character. Gruff and sometimes scary unpleasant. Having holiday dinners at their house in Wishek I remember how he drank his coffee at mealtime. Coffee was served in a cup with a saucer. Grandpa proceeded to pour his coffee into the saucer and slurp it from the dish. I never knew why until I encountered this poem in my German-Russian heritage research.
Drinking From The Saucer
by John Paul Moore
I’ve never made a fortune,
And I’ll never make one now
But it really doesn’t matter
‘Cause I’m happy anyhow
As I go along my journey
I’m reaping better than I’ve sowed
I’m drinking from the saucer
‘Cause my cup has overflowed
I don’t have a lot of riches,
And sometimes the going’s tough
But with kin and friends to love me
I think I’m rich enough
I thank God for the blessings
That His mercy has bestowed
I’m drinking from the saucer
‘Cause my cup has overflowed
He gives me strength and courage
When the way grows steep and rough
I’ll not ask for other blessings for
I’m already blessed enough
May we never be too busy
To help bear another’s load
Then we’ll all be drinking from the saucer
When our cups have overflowed
Granted, my grandfather probably never read this poem, but somehow, the message came through in tradition. Whether he appeared grateful was iffy, this culture held tight to its Christian beliefs. They believed in God and worked for the glory of Him.
Today, I’m grateful so I leave you with these verses from Psalm 103:2-5.
Let all that I am praise the Lord;
may I never forget the good things he does for me.
He forgives all my sins
and heals all my diseases.
He redeems me from death
and crowns me with love and tender mercies.
He fills my life with good things.
My youth is renewed like the eagle’s!
In all your gratefulness this week, don’t forget to note the last few words of the definition of gratitude — “to return kindness.”
Let’s pass that on.


Leave a comment